核磁気共鳴という現象を利用して、からだの断面の写真を作る機械です。縦、横、斜め、からだのあらゆる方向の断面を作成することが容易に可能です。さらに病変の存在や大きさだけでなく、それがどのような成分で構成されているのかの推定が可能であり、また動きやさらには硬さや温度など、CTでは不可能な高度な情報を得ることができます。
機械の中には強力な磁石があり、これで核磁気共鳴を起こすわけですが、体の中に金属が入っていると検査できないことがあります。
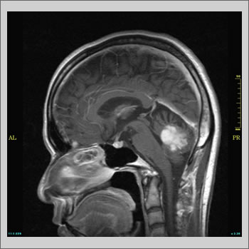
36歳女性、小脳腫瘍(星細胞腫)
MRIではあらゆる方向から病変部を容易に観察できます。この症例では頭部を3つの方向から観察しています。
![]() |
![]() |
![]() |
CTとMRI
CTとMRIは、一見似たような両者ではありますが、一長一短があり、現場では状況目的に応じて使い分けているのが現状です。
患者さんにとって、どの機械でどう撮影すれば負担が少なく最良の情報が得られるのかを考え、他科の医師にアドバイスしたり、診療放射線技師に指示するのが我々放射線科医の役目です。
もちろん、できあがった画像を読影し評価するのも我々の重要な役目です。目的の病気を評価するのはもちろん、時々思いもかけない病気が他に見つかることがあり、これを主治医に報告するのも重要な仕事の一つです。
また、九州大学病院では最大磁場強度の3テスラMRIが稼働して、臨床/研究にフル稼働しています。










